Captarea virusurilor de catre purificatoarele de aer si cum te ajuta acestea in lupta cu virusurile.
Odata cu focarul global de coronavirus nou (COVID-19), din ce in ce mai multa lume ma intreaba daca purificatoarele de aer sunt eficiente impotriva infectiilor cu acest virus.
In acest articol o sa va ofer informatii utile si cateva sfaturi pentru a ramane in siguranta.
Ce este de fapt coronavirusul (COVID-19) ?
Coronavirusurile sunt particule sferice cu un diametru de aproximativ 0.125 microni (125 nanometri).
Virusurile in general au un diametru intre 0,001 – 0,4 microni. Virusul gripal are un diametru de 0,1 microni.

Sursa imagine: Wikipedia

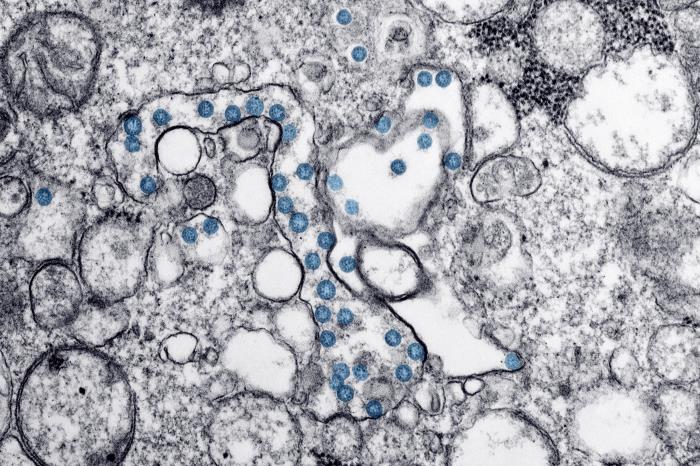
Imagine cu primul caz de COVID-19 din SUA. Sursa imagine: CDC
Purificatoarele de aer pot capta coronavirusul?
Da, intr-o anumita masura purificatoarele de aer pot capta din punct de vedere tehnic o parte din aceste particule.
Pot face asta datorita filtrului HEPA cu care acestea sunt dotate. Odata prinsi, virusii nu se pot inmulti singuri sau sa ramana infectiosi mult timp. Dar nici-un purificator de aer nu te poate proteja complet de un virus.
Ce este filtrul HEPA
Filtrele HEPA sunt o tesatura complexa de fibre minuscule care poarta o sarcina electrostatica care atrag particulele mai mult ca un magnet decat o plasa. Cu cat este mai mica fibra in diametru, cu atat este mai mare probabilitatea de a prinde particule din ce in ce mai mici.

Sursa imagine: Wikipedia
Unele filtre HEPA au o suprafata de filtrare mica, iar altele mai performante au o suprafata de filtrare mai mare, reusind sa capteze mai multe particule (fiind astfel mai eficiente) dar si sa aiba o durata de viata mult mai mare (se schimba la o perioada mai mare de timp).
Cum functioneaza filtrul HEPA si cum capteaza particulele
Acest studiu NASA pentru filtrele HEPA explica foarte bine de ce filtrele HEPA au o eficienta de pana la 100% pentru 0,01 microni, la captarea particulelor ultrafine sub 0,3 microni, standard de testare HEPA.

In imagine putem vedea diametrul particulelor si unde sunt situate virusurile.
Dar cum reuseste sa opreasca filtrul HEPA particulele minuscule de virus care pot fi de peste 100 de ori mai mici decat particulele de praf, polen?
Este un fenoment cunoscut sub denumirea de miscare browniana.
Este o miscare continua, complet dezordonata (haotica) a particulelor care se prind in fibrele de tip labirint din filtrul HEPA.

Sursa imagine: NASA
Impact: Particulele de mari dimensiuni sunt prinse intre fibre.
Efect de inertie: Particulele mari nu sunt purtate de fluxul de aer si raman captate din cauza inertiei lor.
Efect de interceptare: O particula mica atinge fibra si este captata.
Efect de difuzie: Particule foarte mici se ating de fibra filtrului și se lipesc de ea.
Ce este foarte important
Chiar daca filtrele HEPA sunt foarte eficiente in captarea particulelor cu diametre foarte mici, nici-un brand de purificatoare de aer nu trebuie sa pretinda ca poate proteja complet oamenii de COVID-19.
Purificatoarele de aer sunt o masura suplimentara de protectie, dar doar daca debitul de aer este corect dimensionat in functie de suprafata camerei sau biroului unde oamenii stau sau lucreaza. Adica debitul de aer sa fie suficient astfel incat sa recircule aerul de cateva ori pe ora
Filtrele HEPA cu care sunt dotate purificatoarele de aer pot indeparta o parte din particulele in suspensie asa cum este COVID-19 sau alti virusi gripali.
O animatie simplificata de la producatorul de purificatoare IDEAL din Germania ne arata cum se capteaza particulele in functie de diametrul lor si in functie de numarul de straturi ale unui filtru.
Cum se raspandeste COVID-19 si de ce purificatoarele de aer pot ajuta
Modul primar de infectie la om este transmiterea om-om, care are loc in general prin picaturi de secretii respiratorii de la persoane infectate care sunt expulzate prin stranut, tuse sau expiratie.
Particulele de virus sunt atasate si transportate de vaporii de apa, care sunt picaturi mici care plutesc.

Sursa imagine: BRINDUSTRY Group
Unul dintre simptomele principale este tusea, astfel ca transmisia aeriana este o problema majora, iar singura modalitate prin care se pot elimina particulele de virusi dintr-o incapere, este ca aerul din acea camera sa fie recirculat de mai multe ori pe ora.
Recircularea aerului se poate face cu ajutorul unui sistem centralizat sau cu un purificator de aer dimensionat corespunzator, care trebuie sa fie dotat cu filtre HEPA cu suprafata de filtrare cat mai mare, cat si un debit de aer corespunzator.

Exemple de purificatoare de aer IDEAL
Cum ajuta purificatoarele de aer sanatatea sistemului imunitar
Fie ca esti acasa sau la locul de munca, petreci pana la 90% din zi in spatii inchise.
Rareori acordam multa atentie aerului pe care il respiram in aceste incaperi, desi poate fi de fapt mult mai puternic contaminat decat aerul exterior.
Toate particulele din aer inhalate de oameni, indiferent ca vorbim de poluanti si impuritati din aer, cum ar fi praful cu particule fine, polenul si alti alergeni, agenti patogeni (bacteriile si sporii mucegaiului) fumul de tigara, substante chimice, etc au legatura directa cu sistemul tau imunitar.
A respira aer curat fara particule daunatoare este doar o parte dintr-un plan de ingrjire care trebuie sa includa somn abundent (am explicat aici ce trebuie sa faci pentru a te odihni corespunzator), apa purificata, o igiena foarte buna si o dieta echilibrata.
Concluzie
Purificatoarele de aer singure nu te vor proteja de virusi, dar pot contribui la un mediu mai sanatos si la un somn mai bun.
Eficienta unui purificator de aer depinde de capacitatea lui de a trage aerul contaminat din incapere, filtrarea acestui aer si recircularea aerului curat in intreaga camera.
Tocmai de aceea iti recomand sa alegi foarte atent acest dispozitiv, pentru ca unul cu performante slabe aproape ca nu are nici-un efect.
#staiincasa



